| 安全鞋配置的「護趾片」一般又稱為鋼頭,其主要目的是在保護腳趾免遭異物直接撞擊, 可以說是所有安全鞋的基本配備。 根據勞動統計查詢網的統計(如下圖),106年至108年間,在職場發生的失能傷害總計有 43,677 件,傷害部位分別由指、手、足位居前三名,從這份統計中不難發現,越是靠近四肢末端及最突出的部位,最容易遭到外物撞擊,而且比起人體軀幹,手指、腳趾等部位相對纖細,少有肌肉保護,遭受到強大外力撞擊或輾壓時,更容易發生嚴重骨折甚至壞死需要截肢。 |

異物掉落,腳趾首當其衝!
| 在工作場所中,像是製造業、運輸及倉儲業,經常需要使用堅硬沉重的工具,或是搬運重量極大的貨物,如果只穿著球鞋,甚至是涼鞋拖鞋這類的休閒鞋,當有沉重的工具或貨物不慎掉落砸到腳時,腳趾就容易受到非常嚴重的傷害。美國骨科足踝醫學會(AOFAS)期刊中曾有一篇針對護趾片保護性的研究報告,學者們對遺體捐贈者的遺體施測,讓 68 公斤的物體從 91 公分的高度垂直自由落下撞擊腳趾,進而對照有無護趾片保護的實驗結果。 |
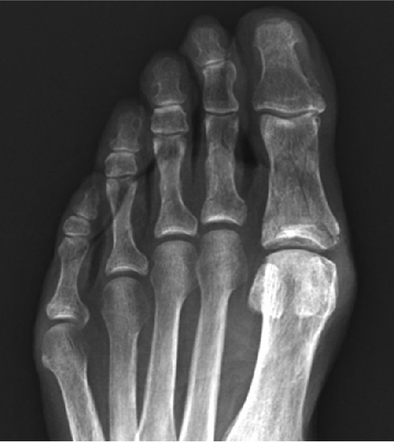
有護趾片保護
從上圖可見,有護趾片保護的情況下,重物不會直接撞擊到腳趾,因此骨頭仍是完好無損。
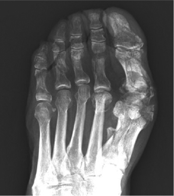
無護趾片保護
無護趾片保護的腳趾,直接被重物撞擊,可發現五隻腳趾的骨頭均被壓傷變形,大拇趾甚至已有粉碎性骨折。
那只要有護趾片就沒問題了嗎?
當然不是。還必須要通過相關測試確保安全性,在台灣,是由經濟部標準檢驗局制定出一套安全鞋測試方法,在 CNS 20345 安全鞋的測試項目中,就有明確規範安全鞋的護趾片必須要能夠承受「200焦耳的衝擊力」以及「15000牛頓的壓縮力」。
◆ 200 焦耳
讓 20 公斤的鋼製尖狀衝鎚
從一公尺處垂直落下直接撞擊所產生的能量
撞擊後的護趾片不能產生會透光的裂痕
也不能壓壞放在護趾片下方的黏土
才算是合格
從一公尺處垂直落下直接撞擊所產生的能量
撞擊後的護趾片不能產生會透光的裂痕
也不能壓壞放在護趾片下方的黏土
才算是合格
◆ 15000 牛頓
使用壓扁測試機對護趾片持續加壓,直到 15000 牛頓時停止
(約為1530公斤)
壓縮測試後不能產生會透光的裂痕
也不能壓壞放在護趾片下的黏土
才算是通過測試
在購買安全鞋時,最好認明具有「ISO 20345」認證,或有取得「CNS 20345」認證的產品,再搭配正確的使用方法,以確保安全鞋能夠好好的保護腳趾,避免在意外發生時受到嚴重傷害。(約為1530公斤)
壓縮測試後不能產生會透光的裂痕
也不能壓壞放在護趾片下的黏土
才算是通過測試
耐衝擊測試
耐壓縮測試
你知道嗎
除了「CNS 20345 安全鞋」以外,還有另一套也是在規範工作用鞋的檢驗標準「CNS 20346 防護鞋」,耐衝擊測試為 100 焦耳,而耐壓縮測試為 10000 牛頓,不管是幫公司大量採購,或是員工個人自購,在購買前請務必要看清楚通過的檢驗標準,才不會買到不符合要求的產品哦!